Fig. 7.1
Transvaginal sagittal image of the uterus shows heterogeneous echotexture in which the border from the endometrium is diffusedly blurred with respect to the myometrium

Fig. 7.2
Transvaginal sagittal image of the uterus shows heterogeneous echotexture in focal area at anterior wall where the edge of the endometrium is difficult to distinguish sonographically from the adjacent myometrium

Fig. 7.3
Transvaginal sagittal image of the uterus shows heterogeneous echotexture with poor definition of endometrium myometrial junction diffusedly

Fig. 7.4
Transvaginal sagittal image of the uterus shows heterogeneous myometrium appearance, especially on the posterior wall where hyperechoic areas with cysts mimic endometrial thickening

Fig. 7.5
Transvaginal sagittal image of the uterus shows heterogeneous myometrium appearance in focal area at posterior wall where hyperechoic areas with cysts mimic endometrial focal thickening

Fig. 7.6
(a) Transvaginal ultrasonography. In the fundus, an area of focal heterogeneity can be seen, without significant volume or morphology changes. (b) Sagittal, TSE, T2 weighting. The area identified in the fundus corresponds to a focal thickening of the junctional zone (arrowheads). There is also a uterine myoma (arrow) that was also identified in the US
Increase in Uterine Volume
Adenomyosis is a common cause of increased uterine volume [16]. Usually, the body is enlarged and presents a rounded shape − that is, it acquires a globular aspect [3] (Figs. 7.7, 7.8 and 7.9). This aspect, in the absence of focal lesions, is closely associated with adenomyosis, and for some authors it is considered a parameter with high sensitivity indexes for the diagnosis [13, 14].




Fig. 7.7
Transvaginal sagittal image shows a globular-appearing uterus, mottled heterogeneous texture, and small cystic area

Fig. 7.8
Transvaginal sagittal image shows a globular-appearing uterus. The shape of the uterine fundus was rounded and more spherical in configuration without focal lesions

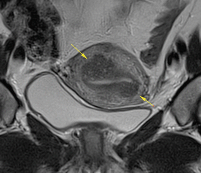
Fig. 7.9
Coronal oblique, TSE, T2 weighting. Apart from the thickening and heterogeneity of the myometrium, endometrial striations, which are adenomyosis characteristics, can also be identified (arrows). A small myoma (arrowhead) and volumetric increase can be identified as well
Asymmetrical Thickening of the Uterine Walls
Disproportion between the thickness of the uterine walls (anterior and posterior), is usually associated with adenomyosis [11] (Figs. 7.10, 7.11, 7.12, and 7.13). For some authors, this signal can increase the method specificity [12].





Fig. 7.10
Sagittal, TSE, T2 weighting. In this case, a diffusely low myometrium signal can be observed, secondary to the thickening of the junctional zone with uterine volume increase and “globular” morphology, secondary to the asymmetry of the body walls promoted by a reactional hypertrophy of the myometrium

Fig. 7.11
Transvaginal sagittal image shows a globular asymmetric uterus (the posterior wall is enlarged with respect to anterior) and heterogeneous myometrium without leiomyomas

Fig. 7.12
Transvaginal sagittal image shows a globular asymmetric, enlarged uterus with the posterior wall enlarged with respect to the anterior, heterogeneous myometrium, and poor definition of endometrium-myometrial junction

Fig. 7.13
Sagittal, TSE, T2 weighting. This figure also shows the engagement of the rear body wall by focal adenomyosis (arrows), with thickening of the junctional zone and asymmetry of the body walls
Heterogeneous Appearance of the Myometrium
One of the most frequent signs of adenomyosis is the heterogeneous appearance of the myometrium, usually characterized by predominantly hypoechoic areas that affect normal stratification. It was present in 84% of positive cases in a study of histopathological correlation [6] (Figs. 7.14, 7.15, 7.16, and 7.17). These heterogeneous areas, more hypoechoic, can be focal, with ill-defined margins or compromising the organ diffusely [4] (Figs. 7.18a, b, 7.19, and 7.20). It is very important to identify this textural change because it manifests itself even before the increase in uterine volume.








Fig. 7.14
Transvaginal sagittal image shows a uterus with markedly heterogeneous myometrium (indistinctly defined hypoechoic myometrial areas) and poor definition of endometrium myometrial transition diffusedly

Fig. 7.15
Transvaginal sagittal image shows a uterus with markedly heterogeneous myometrium and poor definition of endometrium myometrial transition in focal area of uterine fundus

Fig. 7.16
Transvaginal sagittal image shows a uterus with heterogeneous echotexture in focal area at anterior wall. Note the poor definition of the endometrium myometrial junction and the small cystic areas associated

Fig. 7.17
Transvaginal sagittal image shows a uterus with diffused heterogeneous echotexture. Note the hypoechogenicity, global appearance, and poor definition of the associated endometrium myometrial junction

Fig. 7.18
(a) Axial, TSE, T2 weighting. Signal of the myometrium diffusely reduced, secondary to the adenomyosis (arrows), with no significant associated increase in volume, compatible with original shape. (b) Axial, SE, T1 weighted, with fat saturation. Note the hyperintense foci promoted by hematic content, in the myometrial cysts (arrows)

Fig. 7.19
Coronal, TSE, T2 weighting. Note the focal thickening of the junctional zone, compatible with adenomyosis (arrows) involving both uterine walls

Fig. 7.20
Sagittal, TSE, T2 weighting. In this case, an adenomyosis focus can be observed in the anterior body wall, with body asymmetry by the greater volume in the anterior (arrow)
Cystic Myometrial Areas
The presence of anechoic areas, initially described as small intramiometrial lakes measuring between 1 and 3 mm, is associated with adenomyosis. When it was present, in the midst of heterogeneous myometrial areas, in patients without myomas or endometrial changes, it showed a diagnostic sensitivity of 81% in a study [17]. Currently called myometrial cysts, they are generally rounded, they are between 1 and 5 mm in size, and they are considered by some authors to be one of the most sensitive signs for the diagnostis of adenomyosis [3]. These cysts probably correspond to expansions of ectopic endometrial glands [13] (Figs. 7.21 and 7.22).



Fig. 7.21
Transvaginal transverse image of the fundus of the uterus shows a mottled heterogeneous appearance with a small cystic area in the posterior wall

Fig. 7.22

Transvaginal sagittal image of the uterus shows a mottled heterogeneous appearance with small cystic areas in the posterior and anterior wall (arrow)
Stay updated, free articles. Join our Telegram channel
Full access? Get Clinical Tree